日本周産期・新生児医学会 母体・胎児専門医 春名百合愛監修

こんにちは。戸越銀座レディースクリニックで勤務する助産師です。
今回は、タイトルの通り、妊娠したら産婦人科では何を見ているのかについて解説いたします。また、妊娠週数とは?自宅で妊娠検査薬を使用し陽性になったら、いつ受診すれば良いの?妊婦健診はいつから?など、特に初めての妊娠ではわからないことも多くあるかと思いますので、妊娠が発覚したところから妊婦健診開始までの流れについてお話をさせていただきます。
妊娠週数・出産予定日って?
はじめに、妊娠週数についてですが、正確には「妊娠〇週〇日」と表記され、最終月経(最後にあった生理)の初日を妊娠0週0日として数えます。つまり、妊娠前から妊娠週数が数えられ始めることになります。生理周期が28日の方だと、最終月経の初日から2週間目(14日目)あたりが排卵日で、受精すれば妊娠へ至り、受精しなければさらに2週間後(28日目)に月経が来ることになります。
また、妊娠40週0日となる日(満280日)が「出産予定日」となります。
妊娠検査薬はいつ使用するの?
生理予定日を1週間過ぎても生理が来ない時は、産婦人科を受診する前に妊娠検査薬を使用してみましょう。妊娠検査薬は、3本セット1,000円程度で、ドラッグストアなどで購入が可能です。
妊娠すると、尿中にhCGというホルモンが検出されます。hCGは、妊娠4週目頃から尿中に放出されはじめ、妊娠5週目以降、妊娠検査薬が正しく反応する量が分泌されるため、生理予定日である妊娠4週頃では妊娠反応の陽性・陰性の判別がつかない場合もあります。そのため、生理予定日を1週間過ぎた妊娠5週頃の妊娠検査薬の使用がおすすめです。検査薬で陽性判定が出たら、産科を掲げている医療機関にかかるようにしましょう。
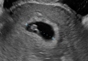
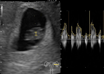
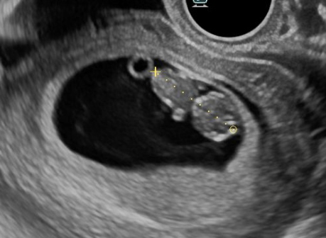
妊娠週数に応じた子宮内の見え方

続いては、産科の医師が診察時に、超音波検査(エコー)で何を見ているのかについて説明していきます。
厚みのある子宮内膜が確認できます。まだ、子宮内で妊娠しているかどうかが超音波検査では確認できない時期になります。

子宮内に、黒い袋が見え始めます。これが、胎嚢と呼ばれる妊娠初期に子宮の中で赤ちゃんを包む袋です。

胎嚢の中に、丸い輪のように見える卵黄嚢が見え始めます。卵黄嚢は、赤ちゃんに栄養を送っています。6週の終わり頃には、胎芽と呼ばれる赤ちゃんの姿が確認できることもあります。胎芽がチカチカと輝いているのが、赤ちゃんの心拍となります。

胎芽はどんどん大きくなります。脳や心臓、手足などさまざまなパーツが形成され始めます。赤ちゃんの心拍がはっきりと見えてくるころです。

赤ちゃんがだんだんと人らしい見た目になっていきます。呼び名が「胎芽」から「胎児」になります。赤ちゃん(胎児)の頭からおしりまでの大きさを測ります。この時期に、分娩予定日を確定します。(※妊娠成立方法によっては、既に分娩予定日が確定されている方もいらっしゃいます。)
妊娠初期の受診の間隔
ここまでお話したように、妊娠初期には週数によって見えるものが変わってきます。産科の医師は、妊娠初期には最終月経から算出された妊娠週数に基づき、週数に応じて赤ちゃんを包む袋(胎嚢)の大きさや赤ちゃん(胎芽)の大きさ・心拍の確認をしています。
上記は一般的な経過ですが、生理周期が不順の方などでは、最終月経から算出された妊娠週数と超音波検査の所見が異なる場合があります。そのような場合には、医師の指示した日程での受診をお願いしております。おおむね妊娠週数と超音波での所見が合っている方も、妊娠初期には1週間~2週間の間隔での受診で、赤ちゃんを包む袋(胎嚢)や赤ちゃん(胎芽)のサイズが経時的に大きくなっているか、赤ちゃんの心拍がしっかりと見えてくるかを確認していくことになります。
診察後に、医師より母子手帳を貰ってきてくださいとお伝えがありましたら、住民票のある市区町村の役所などで母子手帳・妊婦健診の補助券を取得いただくようご案内します。
母子手帳取得のご案内があった次の受診から妊婦健診となります。必ず母子手帳と妊婦健診の補助券を持参し受診してください。
妊娠確認~予定日決定までは1~2週間毎での受診をお願いしています。(状況により異なります)
当院では、予定日決定後に母子手帳の受け取りをお願いしています。
母子手帳を持参し、初回の妊婦健診となります。
妊婦健診開始以降は4週間毎での受診となります(分娩先などにより異なります)
いつでもご相談ください
妊婦健診開始前の受診については、上記の通り基本的には医師の指示通りになります。
妊娠初期は、つわりなどの体調変化があり、妊娠したことを誰かに相談するのも悩んでしまう時期かと思います。わからないことや聞きたいこと、困りごとがある時は、いつでも当院スタッフにお声かけください。皆さまの力や助けになれましたら幸いです。いつでもお待ちしております。
最終更新:2026/2/9
戸越銀座レディースクリニック診療案内
戸越銀座レディースクリニックでは婦人科診療・妊婦健診を含めた産科診療の他に婦人科検診も行っております。定期的な婦人科検診による早期発見・治療が可能です。
産婦人科の診察に怖いというイメージを持たれる方も多くいらっしゃると思います。初めての方でも、女性スタッフによる声かけ・痛みの配慮・軽減・環境づくりに努めますのでぜひお気軽にお越しください。診療は日本産科婦人科学会・産婦人科専門医が行います。産婦人科に関してお悩みのある方は、ぜひご相談ください。
このコラムを書いた人
戸越銀座レディースクリニック 助産師新居 諒子
経歴
- 日本赤十字看護大学大学院国際保健助産学専攻 卒業
- 都内地域周産期センター産科勤務
資格
- 看護師
- 助産師

メッセージ
私は卒業後、地域周産期センターにて妊婦さんや赤ちゃん、そのご家族のケアを実践して参りました。
周産期センターでの勤務では、妊婦さんと関わる機会は多かったですが、地域で生活する女性と関わることは少なかったので、クリニックで幅広い年代の方々のサポートができることを嬉しく感じております。
当院に来院される皆さまが、受診後に少しでも過ごしやすくなっていただけるよう、助産師として働いていきたいと思っております。
戸越銀座レディースクリニックについて
品川区戸越・戸越銀座商店街にある戸越銀座レディースクリニックは、産科・婦人科の診療・検診を行っているクリニックです。
クリニックは戸越駅徒歩1分・戸越銀座駅徒歩4分の立地にあります。エレベーターが完備されており、お買い物・お出かけのついでにお越しいただけます。プライバシーにも配慮しながら受付から診察まで女性スタッフ・女性医師が対応、診療を通して患者様が気兼ねなく、快適に過ごせるよう努めてまいります。
〒142-0041
東京都品川区戸越3-1-2 イマーレビル B1F
・アクセス
都営浅草線 戸越駅 徒歩1分
東急池上線 戸越銀座駅 徒歩4分
大井町線 戸越公園駅 徒歩12分
| 時間/曜日 | 月 | 火 | 水 | 木 | 金 | 土 | 日 |
|---|---|---|---|---|---|---|---|
| 9:15-13:00 | ⚪︎ | ⚪︎ | ⚪︎ | ⚪︎ | ⚪︎ | ★ | ★ |
| 14:00-17:30 | ⚪︎ | ⚪︎ | ⚪︎ | ⚪︎ | ⚪︎ | × | × |
| 17:30-19:00 | × | ⚪︎ | × | ⚪︎ | × | × | × |
★ 土・日曜日は8:30-11:30
(受付終了は診療終了時間の30分前)
※日曜日は月2回不定期での診療
※祝祭日は休診となります。
妊娠中に関連する記事
妊活中から妊娠中に知っておきたい!ラクトバチルス・ラクトフェリンの働きと取り入れ方
【2026年4月から公費】RSウイルスワクチン「アブリスボ®」
これまで全額自己負担だったこのワクチンが、...

